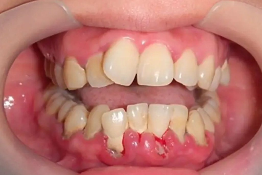
那種感覺非常真實。在夢裡,你用舌頭頂了頂門牙,發現它竟然前後搖晃,一陣恐慌襲來。再輕輕一碰,牙齦滲出血絲,腥鏽味在嘴裡散開。你想喊,卻發不出聲音,只能眼睜睜感受那份堅固的東西從根基處崩壞。然後你驚醒,第一件事就是衝去浴室照鏡子,確認每一顆牙都還安好。
別擔心,你一點都不孤單。夢見牙齒鬆動、脫落或出血,是全球最常見的夢境主題之一。它之所以讓人如此不安,是因為牙齒象徵著我們最根本的自信、力量與生存能力。但與其被它嚇壞,不如把它當成一個來自潛意識的,有點驚悚但無比誠信的快遞。裡面裝的不是詛咒,而是一封關於你當前生活狀態的體檢報告。
夢見牙齒鬆動流血的常見寓意是什麼?
翻開任何一本解夢書,大概都會看到類似的解釋:擔心外貌、恐懼衰老、對人際關係感到無力。這些都對,但太籠統了,對解決你的具體焦慮沒什麼幫助。
我認為更精準的理解,要從「功能」切入。牙齒用來咬碎食物、清晰發音、支撐臉型。它在夢中出問題,直接對應到現實中三種核心功能的受阻:
- 咀嚼/消化困難:代表你正面對一個難以「消化」的處境。可能是上司丟給你一個超出能力的專案,或是家庭裡有剪不斷理還亂的衝突,讓你感到無法應付、難以承受。
- 表達/溝通障礙:牙齒鬆動影響發音。這常反映你心中有話說不出口,或是覺得自己的意見不被重視,溝通無效。我一個朋友在夢見門牙掉落前一週,正為了是否要和固執的同事正面衝突而糾結不已。
- 支撐/安全感喪失:牙齒是臉部骨架的支撐。它的鬆動,象徵你某個生活基盤或自我認同感正在動搖。可能是財務出現隱憂,一段重要的關係不穩,或是對自身能力產生根本懷疑。
從心理學看,為何大腦選擇用牙齒來警告?
心理學家弗洛伊德和榮格都談過牙齒夢。弗洛伊德傾向將它連結到性慾(他總是這樣...),但榮格的觀點更值得思考:他認為,夢見牙齒脫落,可能連結到一種古老的、集體潛意識中的意象——「象徵性的死亡與重生」。這不是指肉體的死亡,而是指某個舊的、你曾經賴以為生的自我認知或生活模式正在「死亡」,以騰出空間給新的東西。
為什麼是牙齒?因為它太具體了。我們每天照鏡子、吃飯、說話都會用到它,是「自我」最貼身、最日常的一部分。潛意識用這個你極度熟悉且依賴的意象出問題,來傳達訊息,衝擊力最大,保證你醒來後會記得,並不得不正視。
這裡有個新手常犯的微妙錯誤:過度聚焦於「牙齒」本身,而忽略了夢境的整體氛圍與情節。夢裡你在哪裡?和誰在一起?流血後發生了什麼?這些背景比牙齒的狀態更重要。例如,在辦公室夢見和爭吵中牙齒鬆動,與獨自在空屋中夢見,意義截然不同。
觸發這個夢境的背後原因有哪些?
夢不是憑空產生的。以下是幾大常見觸發器,你可以像做 checklist 一樣對照自己最近的生活:
| 觸發類型 | 具體情境舉例 | 夢境可能傳達的訊息 |
|---|---|---|
| 現實壓力超載 | 工作截止日壓頂、家庭照顧者壓力、重大考試或面試在即。 | 「你已超出負荷,需要重新分配資源或尋求支援。」 |
| 溝通挫敗與無力感 | 與伴侶爭執卻無法互相理解;在會議上意見被忽視;感覺自己人微言輕。 | 「你的表達管道堵塞了,需要找到新的溝通方式或場合。」 |
| 對健康或外表的焦慮 | 親友罹患重病、自己體檢有紅字、對皺紋或體重增加感到憂慮。 | 「你對身體的掌控感正在下降,需要更積極地關注健康。」 |
| 生活中的「失去」或轉變 | 搬家、換工作、一段關係結束、子女離家。 | 「舊的依附正在剝離,這過程令人不安,但也是新生的開始。」 |
| 潛在的生理因素 | 睡眠中因壓力磨牙或緊咬,導致顳顎關節不適;輕微的牙齦炎或牙周問題。 | 「身體正在用不適感向你抗議,別只顧心理,也看看生理。」 |
我必須強調最後一點。很多人忽略了一個簡單的事實:如果你最近因為壓力大,夜間不自覺地緊咬牙關或磨牙,醒來時下顎痠痛,你的大腦很可能只是把這種真實的物理不適感,「編劇化」成了一場牙齒鬆動的夢。這不是預言,只是大腦對身體感覺的創意翻譯。
夢醒後,我具體可以採取哪些行動?
知道了原因和寓意,接下來該怎麼辦?與其繼續焦慮,不如把夢的能量轉化為建設性的行動。以下是三步驟指南:
第一步:立即的自我安頓與記錄
醒來後別急著跳起來。深呼吸幾次,感受身體的狀態。然後,立刻拿手機或筆記本記下:1) 夢的關鍵畫面(不只是牙齒,還有場景、人物);2) 醒來時最強烈的情緒(恐懼佔幾成?無力感佔幾成?有沒有其他感覺?);3) 直覺聯想到最近哪件具體的事。這個記錄本身,就是一種對潛意識的尊重和回應,能有效降低焦慮。
第二步:現實生活的交叉檢視
拿著你的夢境記錄,冷靜地檢視過去一到兩週的生活。問自己這幾個尖銳的問題:
- 有沒有哪個情境,讓我感到「有苦說不出」或「說了也沒用」?
- 有沒有哪個責任或關係,讓我感覺像在「硬啃一塊啃不動的骨頭」?
- 我是否在擔心某些「根基」的東西,比如健康、收入、住所的穩定性?
- 我的身體有沒有發出任何微小訊號?(例如:牙齦是否真的比較容易出血?頸肩是否異常緊繃?)

第三步:設計一個小小的「掌控感」儀式
針對你檢視出的核心壓力點,設計一個簡單、可執行的行動,來重新奪回一點控制權。這個行動不必宏大,但要具體:
- 如果是溝通無力:今天找一個安全的人,練習把一句你平時會吞回去的話,用平靜的語氣說出來。例如:「關於那件事,我的感受是...」
- 如果是工作超載:今天下班前,明確列出明天「只做三件」最重要的事,並拒絕一件不重要的請求。
- 如果是健康焦慮:立刻預約一項你拖延已久的健檢項目,或進行20分鐘的散步。
- 如果是無名焦慮:進行一次「焦慮書寫」。設定10分鐘,不停筆地寫下所有煩惱,寫完後撕掉或刪除。這個動作能將內在的混亂外化。
這個儀式的目的,不是一次性解決問題,而是向你的潛意識發出一個信號:「我收到你的訊息了,而且我正在採取行動。」這個信號,往往就能讓這類充滿無力感的夢境頻率降低。
關於牙齒夢境的深度問答
夢見牙齒鬆動流血,就像心靈發來的一封加急郵件。它用驚悚的封面嚇唬你,只是為了確保你簽收。拆開它,裡面沒有厄運,只有一份關於你內心世界的誠實報告。處理好報告裡指出的問題,這場夢的任務就完成了。它不是你生活的導演,只是一個有點囉嗦但盡責的場記。下次再夢見,或許你可以試著在夢裡對它說:「知道了,我正在處理。」然後翻個身,繼續睡。